EN | UA
EN | UA

Help Support

Back

Diagnostic accuracy of AI-assisted intraoral photography in detecting dental caries

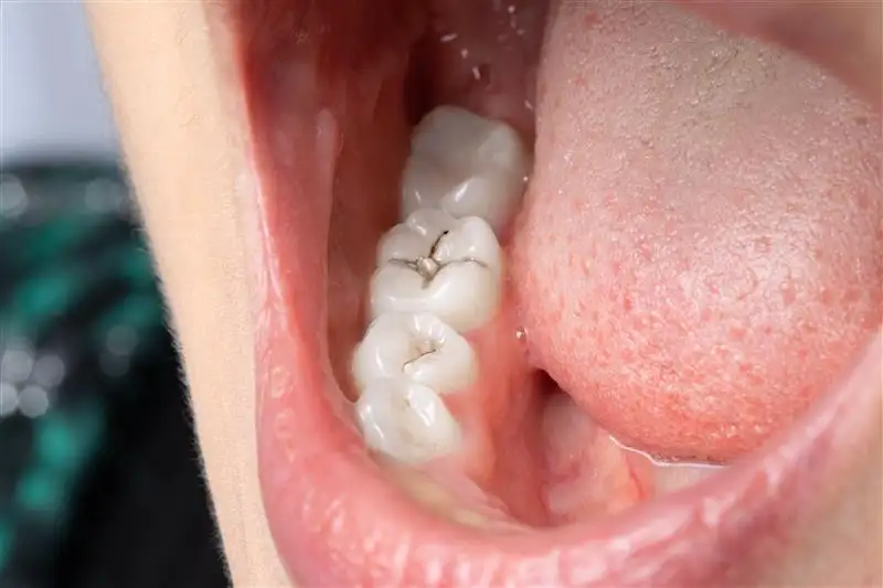
Dental caries Dental caries
Dental caries Dental caries

This umbrella review sought to systematically synthesize available evidence on the effectiveness of artificial intelligence (AI)-assisted photographic examination and image analysis for dental caries detection, and to determine whether these techniques achieve diagnostic accuracy comparable to conventional visual inspection methods.

See All

Key take away

AI-assisted analysis of digital intraoral photographs detects dental caries with high sensitivity and specificity, delivering diagnostic accuracy comparable to conventional visual examination.

Background

This umbrella review sought to systematically synthesize available evidence on the effectiveness of artificial intelligence (AI)-assisted photographic examination and image analysis for dental caries detection, and to determine whether these techniques achieve diagnostic accuracy comparable to conventional visual inspection methods.

Method

From EMBASE, MEDLINE, Scopus, and Web of Science, a total of 8 systematic reviews were retrieved. Screening of articles was conducted at the levels of title, abstract, and full text. Bias risk was independently checked via the Joanna Briggs Institute (JBI) critical appraisal tool.

Result

AI-based detection of dental caries using intraoral digital images illustrated high diagnostic performance, with sensitivity ranging from 67% to 96% and specificity between 75% and 99.2%. Reported area under the curve values varied from 0.74 to 0.987 across different AI models and imaging modalities. Overall, the included reviews illustrated a low bias risk, reinforcing the credibility of the outcomes.

Conclusion

AI-assisted analysis of digital intraoral photographs provided high diagnostic accuracy for dental caries detection, comparable to traditional visual examination, highlighting its potential as a reliable, non-invasive, and scalable diagnostic tool in modern dental practice.

Source:

Journal of Oral Biology and Craniofacial Research

Article:

Diagnostic efficiency of digital photography and AI-assisted image interpretation in dental caries examination: An umbrella review

Authors:

P.D. Madan Kumar et al.

Comments (0)

You want to delete this comment? Please mention comment Invalid Text Content Text Content cannot me more than 1000 Something Went Wrong Cancel Confirm Confirm Delete Hide Replies View Replies View Replies en ru
Try: